...

Dott. Cipiciani Giovanni

senologo, Radiologo, Ecografista

Olbia, Sassari, Siniscola, Alghero
Prenota una visita Contattami

Informazioni su di me

Chi sono...
TITOLI DI STUDIO

Laurea in Medicina e Chirurgia presso l'Università degli Studi di Perugia.
Abilitazione presso l'Università degli Studi di Perugia.
Erasmus presso Hospital Center Universitaire di Brest.
Tutor Universitario presso Università degli Studi di Medicina e Chirurgia di Perugia;
Specializzazione in Radiodiagnostica (50/50 e Lode).
Iscritto presso General Medical Council (UK).
Iscritto presso Irish Medical Council (IMC).
Master di I e II livello in Ecografia presso Oxford University Hospitals

CURRICULUM
Consultant Breast Interventional Radiologist at Screening and Breast Unit Asl Melegnano e Martesana
Medico Senologo ed Ecografista responsabile della Senologia Clinica-Diagnostica e della Radiologia Territoriale presso ICP AST Nord Milano;
Consultant Breast Interventional Radiologist presso la Breast Unit of the King Mill Hospital of Sutton in Ansfield (UK);
Consultant Breast Interventional Radiologist presso la Breast Unit of the Salisbury District Hospital (UK);
Responsabile Regionale Radiologia Inail regione Lombardia;
Medico Radiologo esperto in Senologia Clinica e Diagnostica, Ecografia clinica, ecografia muscoloscheletrica, Ecocolor Doppler presso il dipartimento di Radiologia dell’Ospedale Profili di Fabriano.
Formazione
  • UNIV. DEGLI STUDI DI MEDICINA E CHIRURGIA PERUGIA
  • Specializzazione in Radiodiagnostica conseguita con Lode presso Università degli Studi di Sassari
  • Breast Consultant Interventional Radiologist at General Medical Council (GMC-UK)
  • Master I e II livello in Ecografia presso Oxford University Hospitals
  • Diploma in Violino presso Conservatorio F. Morlacchi di Perugia
  • VII anno di Composizione presso Conservatorio F. Morlacchi di Perugia
  • Orchestra Giovanile Italiana di Firenze
Competenze linguistiche
  • Italiano
  • Inglese
Premi e riconoscimenti
  • .
Patologie trattate
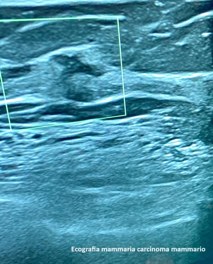
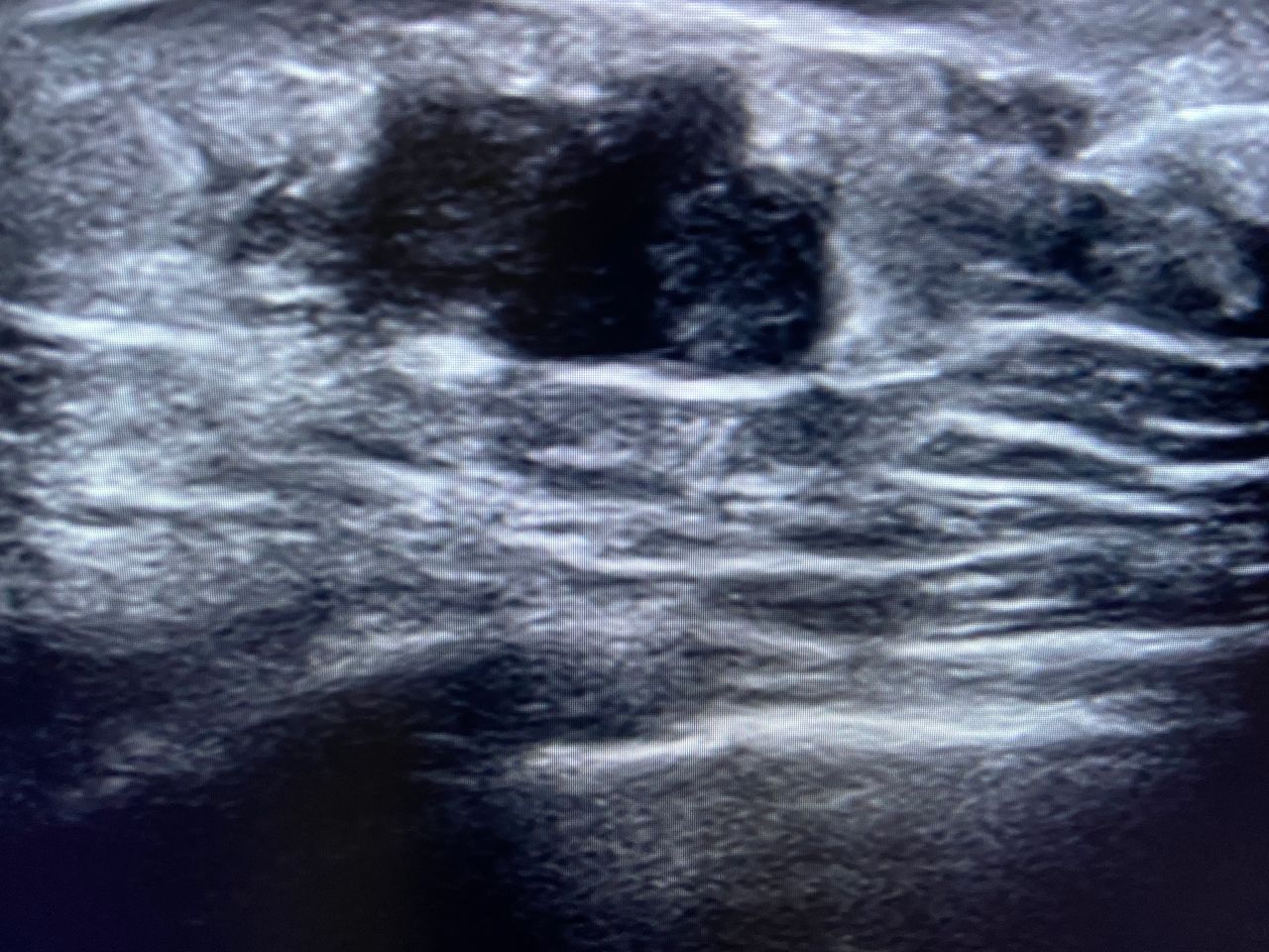
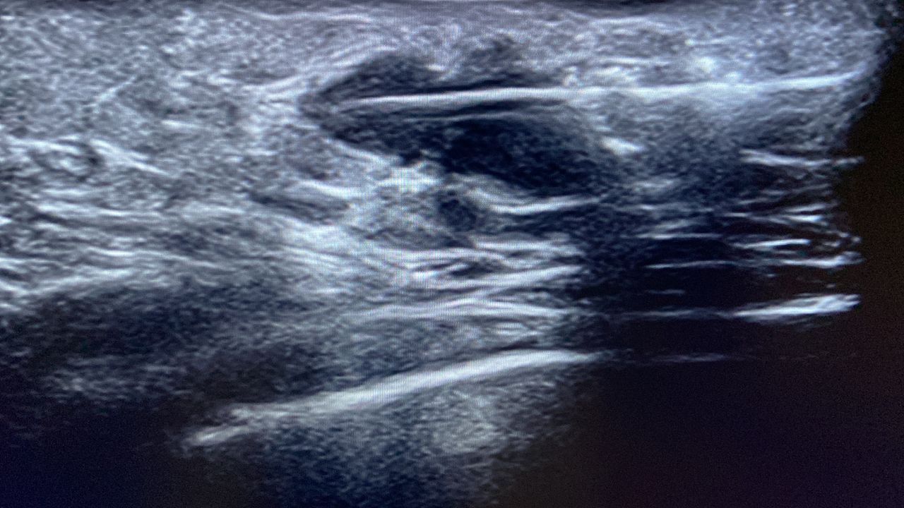
  • Cancro al Seno
  • Fibroadenoma
  • Mastite
  • Ipomastia (mammelle piccole o svuotate)
  • Cancro
  • Idrosadenite
  • Adenocarcinoma
  • Tiroidite
  • Litiasi
  • Leiomioma
  • Fibrosi cistica
  • Steatosi
  • Neoplasie del pancreas
  • Epicondilite
  • Calcolosi Renale
  • Colecistite
  • Tiroidite
  • Neoplasie della mammella
  • Ipertrofia prostatica
  • Tumore della tiroide
  • Dolore addominale
  • Gozzo
  • linfoma
  • Nefropatia
  • Artrite
  • Articolazione
  • glomerulonefrite
  • Aneurisma aortico
  • Aneurisma
  • Epididimite
  • Aterosclerosi
  • Osteoporosi
  • Cisti
  • Gastrite
  • Osteoartrosi
  • Varicosi
  • Distorsione
  • Artrosinovite
  • Artrosi
  • Lombosciatalgia
  • Epigastralgia
  • Dolore oncologico
  • Dorsopatia
  • Mialgia
  • malattia autoimmune
  • Malattia cronica
  • Reumatismo
  • Connettivite
  • Infezione
  • Leiomioma dell'utero
  • Carcinoma epatocellulare
  • Polipo
  • Ernia iatale
  • Tumore del testicolo
  • Carcinoma a cellule renali
  • carcinoma della vescica
  • neoplasie della cervice uterina
  • Diverticolosi
  • Malattia congenita
  • Idronefrosi
  • Tromboflebite
  • Enterite
  • osteite
  • Nefrite
  • bruciore
  • appendicite
  • Sindrome dell'ovaio policistico
  • Frattura
  • Lussazione
  • Mal di schiena
  • Fibroma
  • Iperplasia prostatica benigna
  • Fistola perianale
  • Esostosi
  • Dito a scatto
  • Epatocarcinoma
  • Arteriopatie
  • Fibroma uterino
  • Colpo di Frusta
  • Mioma
  • Neoplasia
  • Borsite
  • Litiasi biliare
  • Cervicalgia
  • Adenoma
  • Mal di pancia
  • Fibromatosi
  • Varicocele
  • Tendinite
  • Lombalgia
  • Dorsalgia
  • Coxartrosi (artrosi dell'anca)
  • Ematoma
  • Cervicoartrosi
  • Dolore alla spalla
  • Gomito del tennista (epicondilite)
  • Rizoartrosi
  • Tallonite
  • Maldigestione
  • Sciatalgia
  • Pleurite
  • nodulo mammario
  • tumore della mammella
  • Ginecomastia
  • mastodinia
  • dolore al petto
  • carcinoma mammario

Prenota una visita

BREAST CENTER (SENOLOGIA-ECOGRAFIA-DOPPLER-RADIOLOGIA)

Via Gabriele d'Annunzio, 47
07026 Olbia, SS
Chiama il dottore

Scegli l'orario più opportuno e prenota un appuntamento!

Studio senologico radiologico ed ecografico - Dr Giovanni Cipiciani - Sassari

Via Giovanni Maria Angioy 16
07040 Sassari, SS
Chiama il dottore

Scegli l'orario più opportuno e prenota un appuntamento!

CONSULENZA ONLINE



Chiama il dottore

Scegli l'orario più opportuno e prenota un appuntamento!

STUDIO RADIOLOGICO SINISCOLA

VIA ROMA 251
07041 Siniscola, NU
Chiama il dottore

Scegli l'orario più opportuno e prenota un appuntamento!

STUDIO ECOGRAFICO ALGHERO

VIA GENOVA 10
07041 Alghero, SS
Chiama il dottore

Scegli l'orario più opportuno e prenota un appuntamento!

Prezzi

ecografia renale da concordare
Ecografia Gomito Bilaterale 150 €
Ecografia Gomito 120 €
Ecografia Ginocchio Bilaterale 155 €
Ecografia Ghiandole Salivari + Tiroide + Collo per Linfonodi 135 €
ecografia epato-splenica 130 €
ecografia epato-pancreatica 130 €
ecografia epatica e delle vie biliari 125 €
ecografia epatica 120 €
ecografia di grossi vasi addominali 120 €
ecografia delle ghiandole salivari 120 €
ecografia delle anse intestinali 130 €
ecografia della tiroide 120 €
ecografia dell'apparato urinario 120 €
Ecografia Ginocchio 120 €
ecografia dei 3 distretti linfonodali 135 €
ecografia degli arti superiori o distrettuale, arteriosa 120 €
ecografia cute e sottocute 120 €
ecografia inguinale 120 €
ecografia linfonodi 120 €
ecografia mammaria bilaterale 120 €
ecografia prostatica 120 €
Ecografia Polso Bilaterale 150 €
Ecografia Polso 120 €
Ecografia Piede Bilaterale 150 €
Ecografia Piede 120 €
ecografia pelvica sovrapubica 120 €
ecografia parti molli 120 €
ecografia parete addominale 120 €
ecografia pancreatica 120 €
ecografia pancreas 120 €
ecografia osteoarticolare 120 €
ecografia osteo-articolare 120 €
ecografia muscolo-scheletrica 120 €
ecografia muscolare 120 €
ecografia milza 120 €
Ecografia Mano Bilaterale 150 €
Ecografia Mano 120 €
ecografia collo per linfonodi 120 €
ecografia collo 120 €
ecocolordoppler arterioso 120 €
ecocolordoppler arterie renali 120 €
ecocolordoppler aorta addominale 120 €
ecocolordoppler Da 120 €
ecocolor doppler scrotale 120 €
biopsia mammaria ecoguidata 250 €
agoaspirato ecoguidato 150 €
ecografia muscolotendinea 105 €
ecografia addome completo 105 €
ecografia da concordare
ecografia anse intestinali 120 €
consulenza online da concordare
Visita di controllo 105 €
visita con ecografia e mammografia Da 240 €
mammografia bilaterale Da 130 €
ecocolordoppler arterioso arti inferiori 120 €
ecocolordoppler carotideo 120 €
ecocolordoppler dei tronchi sovraortici 120 €
Ecografia Caviglia Bilaterale 150 €
Ecografia Caviglia 120 €
Ecografia Ascellare 120 €
ecografia articolare 120 €
ecografia arterie renali 120 €
ecografia anca neonatale 120 €
ecografia al seno 120 €
ecografia addome superiore 105 €
ecografia addome inferiore 110 €
ecodoppler venoso arti inferiori 120 €
ecodoppler vasi epiaortici 120 €
ecodoppler aorta addominale 120 €
ecocolordoppler venoso arti inferiori 120 €
ecocolordoppler testicolare 120 €
ecocolordoppler renale 120 €
ecocolordoppler mammario 120 €
ecocolordoppler del fegato 120 €
mammografia + ecografia bilaterale 210 €
ecografia renale e vescicale 130 €
MOC - mineralometria ossea computerizzata Da 100 €
ecografia apparato urinario Da 130 €
ecografia aorta addominale 140 €
ecocolordoppler venoso arti superiori 130 €
ecocolordoppler tiroide Da 130 €
ecocolordoppler arterioso arti superiori Da 150 €
visita senologica + ecografia mammaria Da 150 €
infiltrazione con cortisone 120 €
infiltrazione acido ialuronico 160 €
ecografia spalla 120 €
ecografia reni e vie urinarie 130 €
ecografia fegato e vie biliari 130 €
prima visita senologica 105 €
Mammografia Visita Senologica Ecografia Mammaria 235 €
infiltrazione ecoguidata 130 €
ecografia vescicale 120 €
ecografia vene degli arti superiori 120 €
ecografia vene degli arti inferiori 120 €
ecografia tronchi sovraortici 120 €
ecografia tiroidea 105 €
ecografia testicolare 105 €
ecografia tessuti molli 120 €
ecografia stazioni linfonodali superficiali 120 €
ecografia splenica 120 €
ecografia senologica 120 €
ecografia scrotale 120 €
ecocolor doppler penieno Da 140 €
diagnostica ecografica del capo e del collo Da 150 €
check up ecografico 200 €
agobiopsia mammaria 260 €
agoaspirato al seno 150 €
ecografia pelvica 130 €
ecografia mammaria Da 130 €
ecografia sovrapubica 130 €
Mammografia Visita Senologica Da 150 €
ecografia stazioni linfondali (collo, ascelle, inguine) 150 €
ecografia tiroide e paratiroidi 130 €
ecografia toracica 130 €
ecografia vescico-prostatica sovrapubica 130 €
visita di chirurgia generale da concordare
ecocolordoppler scrotale 130 €
ecocolordoppler TSA Da 130 €
ecografia degli arti inferiori o distrettuale, arteriosa 130 €
ecografia dell'anca 130 €
Ecografia ghiandola salivare 130 €
Ecografia Ascellare Bilaterale 130 €
visita senologica 105 €
ecografia ovarica 105 €
pacchetto prestazioni Da 165 €
Prima Visita 105 €

Recensioni dei pazienti

Ho effettuato una visita medica con esito molto soddisfacente. Il medico si è dimostrato preparato e professionale, individuando tempestivamente la problematica e prescrivendo una terapia efficace. Ottima esperienza complessiva.
Paziente
Paziente
Molto accogliente, disponibile all'ascolto e curato nella visita
Paziente
Paziente
Professionale e molto preparato, lo consiglio! Molto preparato ed empatico
Paziente
Paziente
Visita soddisfacente. Medico puntuale, professionale e preciso.
Paziente
Paziente
Medico eccellente,preparato gentile..complimenti...lo consiglio..
Paziente
Paziente
Puntualissimo, professionale e anche amichevole, gentile.
Paziente
Paziente
Sono stata ricevuta in breve tempo e subito visitata e rassicurata. Avevo molta paura ma il dott. Cippiciani ha dato tutte le risposte necessarie a farmi stare tranquilla. Lo consiglio in particolare per la serietà e l'attenzione al paziente, caratteristiche non scontate e segno di grande professionalità. Grazie dott.!
Paziente
Paziente
Sono rimasta soddisfatta della visita,e delle spiegazioni che mi ha dato è molto gentile,in futuro mi rivolgo a lui ora che lo conosco grazie
Paziente
Paziente
Puntuale e disponibile. Oltre ad effettuare l'esame richiesto e prescrivere una terapia, mi ha dato dei consigli per gestire al meglio il problema.
Paziente
Paziente
Il Dottor Cipiciani è stato cordiale , comunicativo , pratico. Un analisi approfondita ed esaustiva , fornendo informazioni sul percorso da seguire.
Paziente
Paziente
Molto soddisfatta della prestazione, Dottore puntuale, molto gentile e accurato.
Paziente
Paziente
Ottime spiegazioni,visita accurata. Gentile e professionale.
Paziente
Paziente
Sono stata veramente fortunata a conoscere il Dottor Giovanni Cipiciani, medico professionale e gentile, attento per tutta la durata della visita, ed estremamente delicato, non ho avuto nessun dolore, alle donne consiglio di avere una consulenza con il dottore, siete in buone mani, non vi pentirete. Grazie di cuore dottore, al prossimo controllo.
Paziente
Paziente
Specialista estremamente preparato. Visita scrupolosa e dettagliata. E, soprattutto, grande attenzione al paziente!
Paziente
Paziente
Confermo la professionalità del medico e la disponibilità nei confronti del paziente.
Paziente
Paziente
Il Dottor Cipiciani è persona cortese e affabile e un professionista scrupoloso e attento. .
Paziente
Paziente
Scoperto per caso. Un vero professionista, scrupoloso e molto gentile. Sempre molto disponibile.
Paziente
Paziente
Gentilezza, professionalità, spiegazioni giuste e dettagliate.
Paziente
Paziente
Aldilà della professionalità e della competenza del Dottore, di cui leggo in tanti commenti e che sottoscrivo assolutamente, voglio sottolineare un altro aspetto: dopo la mia diagnosi di carcinoma mammario, quando il suo lavoro di senologo era finito e non ero più "di sua competenza", il Dottore si è offerto di indirizzarmi verso i professionisti giusti rispetto al percorso da seguire. Un gesto estremamente apprezzato nonché grande dimostrazione di interesse verso il paziente anche dopo che esce dallo studio, una qualità sempre più rara purtroppo.
Paziente
Paziente
Spiegazioni dettagliate come sempre, visita scrupolosa. Grazie ancora.
Paziente
Paziente
Ottimo specialista, visita molto dettagliata e scrupolosa
Paziente
Paziente
Il Dottor Cipiciani è un medico senz’altro da consigliare perché molto professionale, preciso e preparato. Eccezionale nella prescrizione della terapia.
Paziente
Paziente
Sempre disponibile, puntuale e professionale. Per me un punto di riferimento! Grazie mille
Paziente
Paziente
Visita dettagliata ed esaustiva il tutto in un ambiente rilassato e famigliare
Paziente
Paziente
Medico molto attento e molto scrupoloso. Un ottimo professionista.
Paziente
Paziente
Spiegazioni dettagliate, molto scrupoloso e attento, mi ha messa a mio agio nonostante l ansia. Mammografia indolore
Paziente
Paziente
Medico molto scrupoloso , spiegazione dettagliata , molto gentile ed empatico
Paziente
Paziente
Molto bravo attento e scrupoloso , mammografia indolore
Paziente
Paziente
Accurato nella visita, disponibile ad ogni chiarimento.
Paziente
Paziente
Tutto perfetto! Molto scrupoloso durante la visita
Paziente
Paziente
Ho effettuato una ecografia al seno .nonostante la Mia ansia il Medico mi ha messo a mio agio .molto attento e scrupoloso..
Paziente
Paziente
Ho eseguito visita senologica di recente, son stata accolta da un medico professionale, competente e accurato, ma anche una persona gentile e simpatica
Paziente
Paziente
Prima visita con il Dottore. gentile e disponibile con la prenotazione della visita.
Paziente
Paziente
Studio medico serio e ben strutturato, con personale competente e professionale
Paziente
Paziente
Ho eseguito con il dottore un’ecografia alle anche al mio bimbo di due mesi. Il medico è stato puntuale e professionale, avrei preferito più spiegazioni durante l’ecografia, ma penso sia una questione di stile. Ha scritto tutto nel referto e l’esame è stato eseguito in modo corretto.
Paziente
Paziente
Disponibile alle esigenze personali, spiega bene la situazione riscontrata
Paziente
Paziente
Attrezzatura adeguata per ecografia. Visita in orario. Competenza nell'esecuzione dell'esame. Chiarezza di esposizione.
Paziente
Paziente
Spiegazioni dettagliate, anche in tematiche non direttamente inerenti all'ecografia, spunti di riflessione, piacevole seduta.
Paziente
Paziente
Gentile, competente e professionale. Lo consiglio vivamente
Paziente
Paziente
Il Dott. Cipiciani e' stato molto gentile e la mammografia che di solito per me e' molto fastidiosa non e' stata per niente dolorosa, lo consiglio vivamente e tornerò di sicuro !
Paziente
Paziente
Ho avuto il piacere di essere seguita dal Dott.Cipiciani per un’ecografia, un professionista eccellente. Molto attento scrupoloso e capace di mettere il paziente a proprio agio fin da subito. massima disponibilità e grande empatia. Consiglio vivamente a chi cerca serietà, competenza e umanità in un medico
Paziente
Paziente
Il dott. Cipiciani è scrupoloso, gentile e professionale. Lo consiglio!
Paziente
Paziente
Professionale puntuale preciso. Appuntamento in tempi brevi macchinari all avanguardia ottima accoglienza spiegazioni esaurienti e complete
Paziente
Paziente
Grande professionalità ma anche attento all’aspetto umano
Paziente
Paziente
Staff molto efficiente e gentile, il dottore è stato veloce e molto chiaro. La soluzione che cercavo da mesi.
Paziente
Paziente
Il Dott. Giovanni Cipiciani è un professionista attento, competente e molto umano. Durante la visita senologica è stato scrupoloso e chiaro nelle spiegazioni, mettendomi subito a mio agio. Lo consiglio vivamente a chi cerca serietà e professionalità.
Paziente
Paziente
Il Dr.Cipiciani è stato molto professionale, gentile e disponibile
Paziente
Paziente
Il dottore è stato gentile e mi ha messo a mio agio.
Paziente
Paziente
Posso dire di essere sua paziente mi segue dal 2020... medico professionale, scrupoloso,gentilissimo e cordiale ... la sua disponibilità.. flessibile negli orari che dire è stato un piacere conoscerla....
Paziente
Paziente
Medico molto professionale e scrupoloso. Fin dal primo momento in cui si fa ingresso nello studio si percepisce un ambiente accogliente e che mette a proprio agio anche il paziente più rigido. La chiarezza e la cura che ha nel spiegare, con termini semplici, concetti medici, mette chiunque in grado di andare via consapevole della propria condizione di salute
Paziente
Paziente
Sono stata dal dottor Cipiciani per una visita ecografica al seno. Mi sono trovata molto bene: il medico è stato professionale, gentile e ha risposto a tutte le mie domande con pazienza. La visita è stata chiara e mi ha spiegato ogni fase del controllo. Mi sono sentita molto a mio agio durante tutto il processo. Lo consiglio vivamente!
Paziente
Paziente
Medico Eccellente, scrupoloso, disponibile ed attento a tutte le esigenze del paziente. È preciso, pignolo, professionale e attento al minimo dettaglio. Ho fatto un'ecografia alla tiroide ed un eco-addome completo. Non è frettoloso ma si sofferma sui particolari e spiega al paziente lo sviluppo dell'esame. Molto chiaro e preciso anche quando consegna il referto e spiega gli esiti dell'esame ed è sempre pronto a fornire tutti i chiarimenti che il paziente richiede. Magari tutti i medici fossero così.
Paziente
Paziente
Ho effettuato un ecografia mammaria dal dottor Cipiciani. Me l’hanno consigliato in tante, e ho potuto confermare tutte le cose positive che mi hanno detto: è molto empatico, scrupoloso, gentile ed esaustivo nelle spiegazioni. Lo consiglio sicuramente.
Paziente
Paziente
Professionale e disponibile, mi ha fornito consigli chiari e utili. Consiglio vivamente la consulenza online!
Paziente
Paziente
Gentile, professionale e scrupoloso. Medico molto preparato e dotato di tutti i macchinari e gli strumenti diagnostici per una visita completa ed esaustiva.
Paziente
Paziente
Dott. Cipiciani è eccellente, un grande professionista. Mi ha messo subito a mio agio. Molto attento a percepire il problema e a capire come parlare con il paziente con grande empatia. Molto professionale e spiegazione molto semplice che fa capire molto bene il problema. Tutto perfetto lo consiglio assolutamente.
Paziente
Paziente
Ho apprezzato particolarmente la sua gentilezza, l’empatia, la chiarezza nelle spiegazioni e il suo essere premuroso nei confronti del paziente. Un ottimo medico.
Paziente
Paziente
Gentile , empatico e molto scrupoloso . Consiglio vivamente il dottor Cipiciani
Paziente
Paziente
Professionale. Risponde rapidamente ai messaggi. Spiegazioni chiare durante la visita. Consigliato.
Paziente
Paziente
Dottore professionale,gentile,molto esaustivo e disponibile. Soddisfatto
Paziente
Paziente
mi sono recata nello studio del dottor Giovanni cipiciani per effettuare un’ecografia al dito. Dottore professionale e gentile, empatico e molto disponibile.
Paziente
Paziente
Molto attento a percepire il problema, paziente è molto disponibile.
Paziente
Paziente
Dr. Cipiciani è stato esaustivo, professionale e gentilissimo
Paziente
Paziente
Lo conosco da molti anni e non mi pare di dover aggiungere altro,oltre alla professionalità,disponibilità!
Paziente
Paziente
É la seconda visita che effettuo dal Dottore e non posso che ritenermi soddisfatta. Professionale e scrupoloso. Riesce, con la sua discrezione e gentilezza, a metterti a tuo agio. Qualità veramente rare.
Paziente
Paziente
Il dott. Cipiciani è molto preparato, fa bene il suo lavoro e spiega perfettamente tutto al paziente, il che ,almeno per me, è molto importante.
Paziente
Paziente
Certe visite sono sempre fastidiose e dolorose. Sono anni che mi faccio visitare dal dottor Cipiciani ed oltre ad essere un ottimo professionista, è molto attento e delicato per non arrecare dolore. Delicatezza ed attenzione piu uniche che rare.
Paziente
Paziente
Medico gentile e professionale scrupoloso e paziente Ha saputo indirizzarmi per poter accedere ad ulteriori accertamenti concernenti la mia casistica Consigliato
Paziente
Paziente
Dottore molto preparato, educato professionale e pulito. Spiega dettagliatamente la situazione e con empatia tranquillizza il paziente . Molto educato cordiale e disponibile . Una certezza . Davvero una brava persona . Grazie DOC! Se fossero tutti come Lei, la sanità in Italia sarebbe invidiabile dal resto del mondo!
Paziente
Paziente
Consiglio, dottore professionale e molto chiaro!!!
Paziente
Paziente
La visita con il Dottor Cipiciani è stata la prima della mia vita. Medico competente e molto discreto. E' riuscito a mettermi a mio agio, a spiegare con cura tutto ciò che riusciva ad osservare durante l'ecografia, pertanto lo ringrazio e sicuramente tornerò per le visite di controllo
Paziente
Paziente
Gentilissimo, competente e professionale. La visita non è certo tra le mie preferite ma il dottor Cipiciani la effettua che tale discrezione e delicatezza da far sì che riesca a rispettare il mio annuale appuntamento di controllo…
Paziente
Paziente
Il dottore mi ha messo molto a mio agio e ha cercato subito di tranquillizzarmi
Paziente
Paziente
Il Dott.re Cipiciani è un medico Competente e professionale, sono stata seguita con molta attenzione ,con cortesia e disponibilità. Sono stata colpita anche dai macchinari all avanguardia e dai più schermi posizionati nella postazione del paziente e del dottore, ciò permetteva una ottima visuale ad entrambi e comprendere via via i vari passaggi, spiegandomi tutto nel dettaglio.. Fin dalla prima visita mi ha trasmesso fiducia , , Consigliò vivamente
Paziente
Paziente
Io ho fatto questo esame per la prima volta e il Dott si è dimostrato cortese e paziente nella spiegazione dello svolgimento. Abbastanza veloce anche nel consegnare l'esito. Consiglio.
Paziente
Paziente
Molto qualificato mi sono trovato benissimo lo consiglio a tutti
Paziente
Paziente
Scrupoloso, professionale e sensibile allo stato d'animo del paziente, al quale trasmette la serenità che ci si aspetta di avere quando si esce da uno studio medico, ovvero aver ricevuto attenzione al proprio caso e spiegazioni articolate, ma comprensibili.
Paziente
Paziente
Getting a mammogram is never fun, but Dott. Cipiciani makes going to the appointment a breeze. He is very understanding and empathetic. I appreciated the time he took to explain everything in simple detail, and he was very professional and thorough. Also, if you're on holiday and need an appointment, you can get one fairly quickly with him. His English Is also quite good. Thank you Dr. Cipiciani!
Paziente
Paziente
Medico professionale,umano,spiega le cose in modo molto semplice per capire bene il tutto,lo consiglio vivamente.Grazie.
Paziente
Paziente
Dal mio punto di vista ,molto professionale e preciso . Le spiegazioni dettagliate e delicatezza mi ha dato conforto,sicurezza . Grazie
Paziente
Paziente
Dottore molto preparato,gentile ed empatico. Fornisce in modo dettagliato le spiegate mettendo il paziente a proprio agio
Paziente
Paziente
Io Dr Cipiciani è stato un ottimo professionista, molto attento e scrupoloso, mi sono totalmente sentita a mio agio. Lo consiglio a tutte
Paziente
Paziente
Dottore professionale, scrupoloso e cortese. Studio ordinato e accogliente. Lo consiglio vivamente.
Paziente
Paziente
Il Dottore è molto preparato professionale e scrupoloso nella visita, ti mette a tuo agio e ti informa mente esegue gli esami strumentali. Consigliato.
Paziente
Paziente
Sono stata dal dottor Cipiciani per una prima visita di controllo e posso dire che è un professionista preciso, attento e molto chiaro nelle spiegazioni
Paziente
Paziente
Turista ad Olbia,mi serviva il consulto di un professionista e ho deciso di prenotare presso il suo studio.. dottore gentilissimo, empatico , bravissimo!!!!
Paziente
Paziente
Ho effettuato una visita di controllo mammografia ed eco molto scrupoloso professionale ed empatico. Pochi dottori ti fanno sentire a proprio agio durante queste visite e lui è il migliore
Paziente
Paziente
Molto bravo,disponibile ,miglior medico che ho conosciuto….Un professionista
Paziente
Paziente
Medico attento e professionale. Studio pulito e ben curato.
Paziente
Paziente
mammografia , ecografia e visita , sono state fatte con scrupolo e attenzione. Mi sono trovata davvero molto bene. Sarà mia cura prenotare la visita anche il prossimo anno vista l 'esperienza positiva . Grazie
Paziente
Paziente
Professionalità e competenza. Ambiente accogliente
Paziente
Paziente
Medico molto scrupoloso, gentile e professionale. Lo consiglierò sicuramente
Paziente
Paziente
Gentile e competente, visita accurata, sono molto soddisfatta
Paziente
Paziente
Gentile e professionale ci ha accolto in uno studio ben curato.
Paziente
Paziente
Puntuale, cordiale, empatico e scrupoloso. Consiglio assolutamente
Paziente
Paziente
Esperienza positiva, mi sono trovata molto bene. Il dottore è molto attento, gentile e professionale. Lo consiglierò sicuramente!
Paziente
Paziente
Abbastanza soddisfatta , puntualità e cortesia, pulizia e igiene ottima
Paziente
Paziente
Professionalità, puntualità e cortesia. Lo consiglio.
Paziente
Paziente
Molto cordiale....emana energia positiva e serenità.Rassicurante .Solare.Professionale.
Paziente
Paziente
Lo conosco da tanto tempo, ho fatto diverse visite con lui, molto gentile, mi son trovata sempre bene.
Paziente
Paziente
Esperienza ottima! Il dottore Cipiciani è molto professionale, sin dal primo momento mi sono sentita a mio agio grazie alla sua empatia e gentilezza, un vero professionista.
Paziente
Paziente
Fatta visita senologica più ecografia. Medico molto professionale, scrupoloso ed esaustivo. Lo consiglio sicuramente.
Paziente
Paziente
Medico cortese disponibile empatico e molto professionale, consigliato .
Paziente
Paziente
Molto disponibile,ordinato e preparato , ottimo dottore lo consiglio a tutti
Paziente
Paziente
Un medico gentile, disponibile, molto chiaro nelle spiegazioni e professionale. Mi ha fatto sentire subito a mio agio, mi sono trovato molto bene. Studio bello e accogliente. Lo consiglio.
Paziente
Paziente
Molto cortese nel rispondere ai miei dubbi e rapido. Davvero gentile e disponibile. Grazie
Paziente
Paziente
ottimo trattamento, professionalità. ottima impressione
Paziente
Paziente
Mi sono trovato benissimo . Studio bellissimo professionalità e puntualità hanno contraddistinto questo professionista. . Renato
Paziente
Paziente
Un medico gentile, disponibile, molto chiaro nelle spiegazioni e professionale. Mi ha fatto sentire subito a mio agio, mi sono trovato molto bene. Studio bello e accogliente. Lo consiglio.
Paziente
Paziente
Sono andata per la prima volta mi ha messo mio agio specifico il problema
Paziente
Paziente
Dottore molto Professionale,puntuale cordiale e molto chiaro dando spiegazioni. Lo consiglio
Paziente
Paziente
Mi sono trovata molto bene professionalità e gentilezza ritornerò nell’eventualità dovessi fare qualche altro esame ma soprattutto lo consiglio. Ivana
Paziente
Paziente
Medico estremamente gentile e professionale, attento a fornirmi spiegazioni dettagliate su tutte le Mie domande. Bellissimo studio, molto accogliente. Esperienza molto positiva. Consigliatissimo
Paziente
Paziente
Oltre ad essere un bravo senologo e radiologo è un ottimo clinico e ciò si evince anche dai referti
Paziente
Paziente
Bravissimo....mi ha messo a mio agio ...gentile... rassicurante..
Paziente
Paziente
Medico dalle indiscutibili doti umane e professionali. Accurato, preciso e meticoloso nell'indagine diagnostica. Estremamente cortese e disponibile a elargire spiegazioni. Molto empatico. Ha soddisfatto ogni aspettativa. Lo consiglio vivamente.
Paziente
Paziente
Ho effettuato un eco addome completo, visita accurata e molto scrupolosa. Gentilezza e disponibilità per consigli e ulteriori approfondimenti. Ci ritornerò per i miei controlli periodici.
Paziente
Paziente
Dottore estremamente disponibile preciso e scrupoloso. Sicuramente ritornerò per le visite di controllo ed eventuali altre.
Paziente
Paziente
professionalità nell' interloquire, disponibilità massima
Paziente
Paziente
Medico molto professionale, disponibile alle mie domande con grande chiarezza. Esperienza molto positiva.
Paziente
Paziente
Medico gentile e preparato che ti mette a tuo agio. Consigliatissimo
Paziente
Paziente
Dottore gentile, empatico e professionale. L'aspetto che ci ha colpito di più è stata la sua estrema disponibilità e il modo in cui ci ha seguito.
Paziente
Paziente
Ottima assistenza, capacita' di ascolto e di mettere a proprio agio il paziente, grazie!
Paziente
Paziente
...

Vuoi prendere un appuntamento?

Prenota una visita Contattami